Breast Biopsy Site Markers

Distinkta former med alternativ för god långsiktig synlighet. Utformade så att du kan identifiera platserna med tillförsikt.

Platsmarkörer för bröstbiopsi med distinkta former

    Översikt

    Dokument

    Utbildning

    Ett omfattande utbud

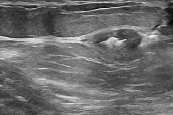
    Hologics utbud av biopsiplatsmarkörer finns i en rad olika former, grovlekar och längder. Markörerna är kompatibla för användning med röntgenledda, ultraljudsledda och MRT-ledda biopsier.  Alla markörer levereras med en ergonomisk och lättanvänd placeringsenhet.

    Tumark® Biopsy Site Markers

    Intelligent utformade för att ge långsiktig synlighet. Alla Tumark-markörer är icke biologiskt nedbrytbara, biokompatibla permanenta markörer med utmärkt synlighet och är utformade för att minimera rörelse.1

    SecurMark® Biopsy Site Markers

    Denna markör är utformad för att minimera rörelse,2 har hög synlighet vid ultraljud efter placering och är fortfarande väl synlig 6 veckor efter biopsin, vilket är avgörande vid framtida bröstingrepp.3 Markören består av två delar, en permanent markör och ett biologiskt nedbrytbart nät.

    TriMark® Biopsy Site Markers

    Optimal för patienter med små bröst och ytliga lesioner. Smidig markörplacering på biopsiplatsen med styv avfasad spets för placering.

    Illustration av Hologic Breast Health Continuum of Care med radiologi

    Utnyttja tiden bättre

    Breast Health Continuum of Care erbjuder integrerade lösningar för klinisk tillförlitlighet, effektivt arbetsflöde och omtänksam patientvård. Det ger fler kvinnor längre tid med bättre hälsa.

    Utbudet av Breast Biopsy Site Markers en del av Hologic Localisation & Marking Solution.

    Identifiera med tillförlitlighet

    Forskning visar att biopsiplatsmarkörerna Tumark Professional X, Q och Vision är exakta och enkla att använda.1

    85 %

    säger att synligheten vid ultraljud var bra till utmärkt vid utplacering1

    92 %

    av markörerna placerades korrekt på avsedd plats1

    99 %

    höll med om att enheten var lättanvänd1

    Kvinna besöker virtuellt sjukhus med bröstkirurgisk enhet och patologilaboratorium

    Besök vårt virtuella sjukhus

    Bläddra i vår portfölj med lösningar för brösthälsa i 3D. Se hur du kan utnyttja tiden bättre för hela Breast Health Continuum of Care.

    Bläddra i vårt omfattande utbud av biopsiplatsmarkörer

    Bildgalleri

    Bevis. Kunskap. Samarbete.

    Vår utbildningsportal förbättrar patientvården genom utmärkt utbildning, kommunikation av kliniska och vetenskapliga bevis och partnerskap med sjukvården.

    Kunskap

    Radiografer som granskar mammografi med tomosyntes på en bildskärm Radiografer som granskar mammografi med tomosyntes på en bildskärm

    Resultat av ToSyMa-studien, en 3D-framtid för bröstcancerscreening

    Kvinna som sitter framför en mammografimaskin med sjukvårdspersonal vid sin sida Kvinna som sitter framför en mammografimaskin med sjukvårdspersonal vid sin sida

    Program för bröst- och livmoderhalsscreening nu och i framtiden

    läkare och patient diskuterar bröstcancer läkare och patient diskuterar bröstcancer

    Minimalt invasiva icke-kirurgiska bröstcanceråtgärder

      1. Hologic-data på fil: DHM-06169, Rev 001. * Baserat på Tumark® datainsamlingsstudie, 3 kliniker på 3 sjukhus för 90 utplacerade markörer, 2017.
      2. Yen P, Dumas S, Albert A, et al. Post-Vacuum-Assisted Stereotactic Core Biopsy Clip Displacement: A Comparison Between Commercially Available Clips and Surgical Clip. Can Assoc Radiol J. 2018 Feb;69(1):10-15. doi: 10.1016/j.carj.2017.08.004. PMID: 29458952. Enheter visar minskad förflyttning jämfört med traditionella kirurgiska metallklämmor (28 % och 27 % mot 38 % förflyttning, p = 0,001 och p = 0,0001). Synlighet beror på omgivande vävnad och kan variera.
      3. Pinkney DM, Shah BA. Prospective Comparative Study to Evaluate the Sonographic Visibility of Five Commercially Available Breast Biopsy Markers. Journal of Diagnostic Medical Sonography. 2013;29(4):151-158. doi:10.1177/8756479313486962. *45.4 % of respondence rated SecurMark high sonographic visibility after 6-weeks post procedure, 4x more than the Gel Mark UltraCor™
      4. Hologic-data på fil: MISC-07876, Rev 001, attachment 2. Rüland 2018 (n=50), Kuemmel 2020 (n=300) PMCF Hologic survey (n=29).
      5. Hologic-data på fil: MISC-07876, Rev 001, attachment 2. Appendix G, Customer Feedback Survey.
      6. Hologic-data på fil: MISC-07876, Rev 001, attachment 2. Flores-Funes 2021 (n=60), Jain 2017 (n=9), Siegmann 2009 (n=29), Wienbeck 2017 (n=3), Stahl 2021 (n=114), Rüland 2018 (n=50), Woodard 2019 (n=1).
      7. Hologic-data på fil: MISC-07876, Rev 001, attachment 2 , Attachment 45. Flores-Funes 2021 (n=60), Hyde 2019 (n=50), Siegmann 2009 (n=29), Wienbeck 2017.
      8. Hologic-data på fil: MISC-07876, Rev 001, attachment 2. Flores-Funes 2021 (n=60), Jain 2017 (n=9), Siegmann 2009 (Woodard 2019 (n=1)n=29), Wienbeck 2017 (n=3), Stahl 2021 (n=49).

      2797
      0482

      Hologic BV, Da Vincilaan 5, 1930 Zaventem, Belgium.

      Nummer till anmält organ om tillämpligt
      Information om EU-representant om tillämpligt